
Uma jovem mulher de 20 anos teve que ser submetida a uma cirurgia para remoção de mais de 300 pedras que tinha alojada nos rins.
Identificada nos relatórios médicos como Xiao Yu, a mulher foi internada no Hospital Chi Mei em Tainan, sul de Taiwan, depois de começar a sentir febre e fortes dores na parte inferior das costas e na região da cintura, informou o ET Today.
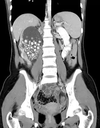
Exames iniciais revelaram um grave inchaço em seu rim direito, levando os médicos a realizar uma tomografia do abdome, onde revelou surpreendentes centenas de pedras no órgão.

A mulher supostamente não tinha o hábito de beber água pois preferia consumir regularmente chás açucarados e sucos para hidratação. Isso resultou em desidratação crônica e acúmulo de minerais nos rins.
Os médicos administraram-lhe antibióticos e realizaram um procedimento minimamente invasivo para remover as centenas de pedras nos rins acumuladas, que tinham uma aparência semelhante a “pãezinhos cozidos no vapor”, segundo os médicos.
Mais de 300 cálculos renais foram removidos da paciente, medindo entre 0,5 cm e 2 cm de diâmetro.

Os urologistas do Hospital Chi Mei incentivam as pessoas a beber bastante água para garantir que o corpo possa processar adequadamente a ingestão de substâncias como açúcares, sal e cálcio.
Xiao Yu é um exemplo extremo dos perigos da falta de hidratação adequada e de hábitos alimentares pouco saudáveis.
Imagem de Capa: Chi Mei Hospital

